審美治療自由診療
歯や歯茎の見た目を
美しく整える/
セラミック審美治療・
根面被覆術
このようなお悩みのある方に
オススメです
- 銀歯を白い歯にしたい
- 前歯の隙間が気になる
- 歯並びや歯の形が気になる
- 過去に治療した詰め物や被せ物が外れた
- 欠けた歯が気になっている
美しい見た目、そして機能美を
追求する審美治療
当院の審美治療では、歯の「美しく自然な見た目」の回復を図るのはもちろん、快適に食事や生活ができる事を目指した「噛み合わせの改善」や「虫歯の再発防止」など、歯の機能面にも重点を置いた治療を行なっております。
虫歯治療で削った部位の修復だけでなく、前歯の「すきっ歯」や「軽度の歯並びの乱れ」を整えたり、「下がった歯茎を治したい」という方への治療法にも対応しています。
お口元の見た目や噛み合わせについてのお悩みも、まずはお気軽に当院へご相談ください。
安心の保証制度
当院ではセラミック治療において『5年間の全額保証』をお約束しております。質の高いセラミック治療を安心して受けていただけますように、治療後も責任を持ってサポートしております。
※定期的なチェックが必要なため、こちらの保証は1年に1回以上定期検診に通っていただく方が対象となります。
素材の特徴について
(自由診療)
インレー(詰め物)の種類・特徴
ジルコニアインレー
-
人工ダイヤモンドとも称されるジルコニアの優れた強度・耐久性を活かした白い詰め物です。変色せず汚れもつきにくいため衛生面にも優れ、再治療のリスクも低減できる長持ちしやすい素材です。噛み合わせの強い方や、金属アレルギーの方にも安心してお使いいただけます。
| 料金 | 55,000円(税込) |
|---|
クラウン(被せ物)の種類・特徴
フルジルコニアクラウン
-
ジルコニアの強度を活かし、固いものを噛んでも被せ物が壊れにくい優れた耐久性が特徴です。より透明感の高いものや、より自然な色味を持つものなど、適用箇所やご希望に合わせて再現することが可能です。
| 料金 | 小臼歯:66,000円(税込) 大臼歯:88,000円(税込) ジルコニアポーセレンクラウン(前歯): 110,000〜143,000円(税込) |
|---|
ジルコニアオールセラミッククラウン
-
保外側に歯科用セラミック(陶材)を築盛し、内側のフレームにジルコニアを使用してお作りする最高品質の被せ物です。色味・透明感ともに非常に優れ、天然歯と見間違うような歯を再現することが可能です。見た目も耐久性もこだわりたいという方におすすめです。
| 料金 | 110,000円(税込) |
|---|
ラミネートべニアの特徴
ラミネートべニア
-
ラミネートベニア法とは、歯の表面を薄く削って薄いセラミックを貼り付けることで、前歯の色や大きさ、バランスを美しく整える治療法です。歯へのダメージを抑えつつ、自然な仕上がりにすることができます。ホワイトニングと比べて、治療後の変色や着色もほとんどないため、審美性が長持ちしやすいことも特徴です。
| 料金 | 110,000円(税込) |
|---|
「下がった歯茎」で
お悩みの方への審美治療法
「下がった歯茎を治したい…」という方のために、当院では外科的な治療で歯茎の下りを改善する『根面被覆術』にも対応しています。
根面被覆術とは?
何らかの原因によって歯肉退縮(歯茎が下がる症状)が起こった場合に、外科的に被覆する治療法です。下がった歯肉の見た目を回復できる他、知覚過敏や歯周病予防を目的に行う場合もあります。
また、ブリッジやインプラントの治療を行う前に歯肉に厚みを持たせることで、歯周組織の長期安定や審美的な回復を図ることが可能です。
患者様のお悩みやご状況をしっかりと把握し、治療内容や費用、メリットやデメリットについてもきちんとご説明をさせていただきます。心からご納得をいただいてから治療へと進んでまいりますので、気になる方は一度当院へご相談ください。
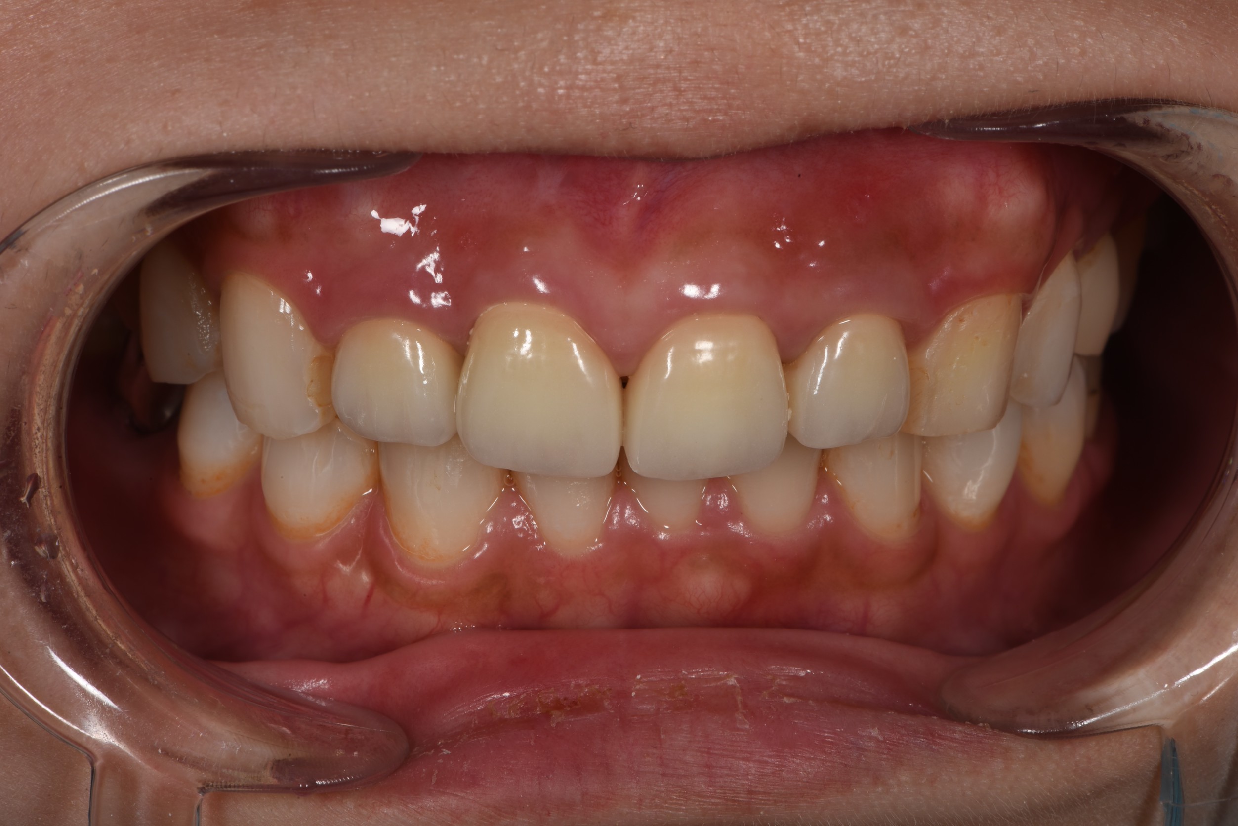
審美治療 症例
治療前
治療後
| 主訴 | 20代女性。右上1、左上1の前歯のプラスチックをセラミックにしたい。色合わせ、切端の透明感を出すのが難しいと言われた。 |
|---|---|
| 治療期間 | 約4週間 |
| 治療費 | ジルコニアポーセレンクラウンプレミアム(¥143,000×2[税込]) 仮歯(¥3,300×2[税込]) |
| 治療内容 | 右上1、左上1のプラスチック歯を除去し、技工士立ち会いの元、色・形の要望をお伺い。ジルコニアポーセレンクラウンを装着。 |
| 治療のリスク | 歯を一定量削る必要があり、しみたり、神経を刺激する可能性がある。 |